| 2007 |
| 06,11 |
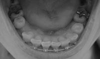
«第6回調整日»
第6回目の調整日。
今日は、3ヶ月に一度の歯周病の検査もありました。
1箇所だけちょっと出血したけど、ほぼOK。前回よりよくなってる
そして、ワイヤー交換。
上下とも一段階ワイヤーが太くなりました。
下のワイヤーは一番太いものになったので、今回の調整でキレイなアーチ状に揃ってくれるはず
順調なら、次回から抜歯痕を詰める作業にはいりますっ
上の歯は、取れたブラケットを付け直してワイヤーを交換。
前回、最初の数日以来ほとんどガルバニーが出てなかったのですが、どうも2番目のワイヤーだったようです。となると、今回のは3番目のワイヤーだから、ガルバニー出現はないかも
だったら嬉しいな~。
慣れてきたのか単に素材の問題なのか、未だよくわかりませんが、無いならそれに越したことはないっ
上下ひとつずつ、ブラケットの位置が気になっていたので先生に相談。
その2つは次回にもう一度チェックして、問題があるようなら付け替えることになりました。
今日は、3ヶ月に一度の歯周病の検査もありました。
1箇所だけちょっと出血したけど、ほぼOK。前回よりよくなってる

そして、ワイヤー交換。
上下とも一段階ワイヤーが太くなりました。
下のワイヤーは一番太いものになったので、今回の調整でキレイなアーチ状に揃ってくれるはず

順調なら、次回から抜歯痕を詰める作業にはいりますっ

上の歯は、取れたブラケットを付け直してワイヤーを交換。
前回、最初の数日以来ほとんどガルバニーが出てなかったのですが、どうも2番目のワイヤーだったようです。となると、今回のは3番目のワイヤーだから、ガルバニー出現はないかも
だったら嬉しいな~。慣れてきたのか単に素材の問題なのか、未だよくわかりませんが、無いならそれに越したことはないっ

上下ひとつずつ、ブラケットの位置が気になっていたので先生に相談。
その2つは次回にもう一度チェックして、問題があるようなら付け替えることになりました。
Post your Comment
プロフィール
HN:
ibiko
性別:
女性
自己紹介:
30代後半より、歯列矯正始めました。
不可思議な現象に悩まされながらも、
なんとかがんばってます~。
不可思議な現象に悩まされながらも、
なんとかがんばってます~。
アーカイブ
最新コメント
[11/11 ゆーこ]
[08/06 さちこ]
[06/13 めぐり]
[05/19 estrella]
[05/01 estrella]
ブログ内検索
カウンタ



